
Les autotests de détection antigénique du...
Dans le cadre des traitements que nous allons vous prodiguer, nous pourrons être amenés à réaliser un certain nombre d'examens radiologiques afin de guider et orienter le diagnostic.
Sachez que l'on ne réalisera ces examens que dans un cadre règlementaire strict que l'applique en respectant les 3 règles essentielles :
Quels types d'examens seront réalisés ou prescrits ?
Du plus simple au plus compliqué nous pouvons être amenés à réaliser sur vous les examens suivants :

Il s'agit de radios de petites tailles placées et orientées dans votre bouche et ciblant un secteur de une à trois dents. Elles permettent une vision plus précise de certains détails.

Cette radio permet d'appréhender l'ensemble de votre dentition et des structures adjacentes.

Ces examens sont principalement réalisés dans le cadre d'un traitement ODF ; ils ont pour but de permettre un diagnostic et un pronostic précis pour entreprendre un traitement.
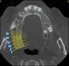
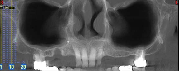
Dernière technologie à notre disposition, cette technique permet de voir en 3 dimensions des images de votre bouche et de mettre en évidence des pathologies ou des anomalies que les autres techniques ne permettent pas d'objectiver.

Coupe axiale

Reconstruction panoramique
Reconstruction coronale